肿瘤磁共振成像对于肿瘤监测、疗效评估、手术导航有重大意义,利用造影剂提升肿瘤成像对比度是临床常用策略,但现有造影剂存在着肿瘤选择性差、成像对比度低等缺陷。近年来,利用肿瘤部位特殊的微环境特征(如微酸性、胞内高浓度谷胱甘肽GSH、过表达酶或蛋白等)设计的智能响应性造影剂能有效提升肿瘤成像对比度,但响应性造影剂的激活通常仅发生于肿瘤细胞内局部位置(如富集GSH的胞浆或溶酶体、酸性溶酶体),而肿瘤基质中则缺乏相关的刺激信号,反之亦然。同时,正常组织中造影剂引起的背景噪音,也严重限制了肿瘤成像的对比度。因此,发展具有高对比度肿瘤成像功能的新型磁共振探针是当前肿瘤成像研究的重点和难点。
近年来,苏州大学放射医学与辐射防护国家重点实验室陈华兵教授与杨涛教授团队合作围绕肿瘤多模态造影探针的构建和应用开展了一系列研究(Adv Mater, 2015, 27, 3874-3882; Adv Mater, 2015, 27, 5049-5056; Adv Mater, 2016, 28, 5923-5930;ACS Nano, 2017, 11, 1848-1857; Theranostics, 2017, 7, 764-774; Biomaterials, 2018, 154, 248-260; Small, 2018, 14, 1802905; J Control Release, 2021, 329, 997-1022; J Control Release, 2022, 350, 761-776)。在上述研究基础上,该团队与苏州大学附属第二医院影像科主任蒋震博士合作,构筑了一种用于肿瘤全息成像的靶向性智能磁共振纳米探针,通过其内、外源性GSH响应性信号激活、瘤内白蛋白介导的非线性信号放大、以及降噪功能,显著提升了肿瘤成像的信噪比,实现了肿瘤精准探测、恶性程度监测以及手术导航(图1)。

图1:智能响应性磁共振纳米探针的肿瘤全息成像机制示意图
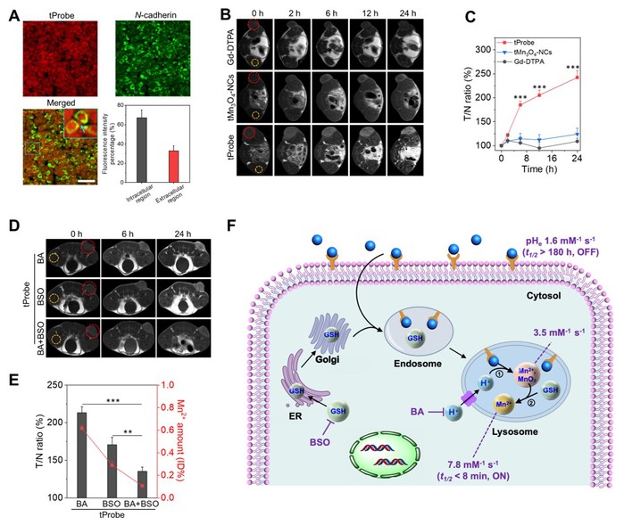
首先,采用单分子转铁蛋白作为纳米反应器,通过生物矿化法构建了载四氧化三锰的靶向性转铁蛋白纳米探针(tProbe,图2A-B)。在中性条件下稳定的tProbe半数降解时间为140 h,而在5.0 mM GSH/pH 5.0条件下其半数降解时间锐减至0.002 h(图2C),表明纳米探针的响应速率取决于胞内GSH浓度及酸性。通过对弛豫系数(r1)的测定发现,随着酸性的增强,tProbe的r1从0.6 mM-1s-1(pH 7.4)提升至1.6 mM-1s-1(pH 6.5),并进一步提高到3.5 mM-1s-1(pH 5.0),而加入GSH后tProbe的r1快速提升至7.8 mM-1s-1,其临界GSH响应浓度仅为0.04 mM(pH 5.0)(图2D),显示出tProbe具有GSH、pH双响应的多级信号放大功能(图2E)。

图2:(A)tProbe透射电镜图片;(B)tProbe高分辨电镜图片,红色箭头标注出晶格缺陷位置;(C)不同条件下tProbe半数降解时间;(D)不同条件下tProbe弛豫系数;(E)tProbe降解示意图。
尾静脉注射tProbe于荷瘤小鼠体内,其高效富集于肿瘤部位,并在胞内胞外均有所分布(图3A),由于超灵敏的pH/GSH介导的磁共振信号放大,tProbe提升肿瘤信噪比至242%,显著高于临床用造影剂Gd-DTPA和非响应性探针tMn3O4-NCs(图3B-C)。同时采用酸性抑制剂和GSH合成酶抑制剂进一步证实了其胞内响应成像特性(图3D-F)。

图3:(A)tProbe瘤内分布图;(B、C)tProbe肿瘤磁共振成像图片及其信噪比;(D、E)不同抑制剂孵育后下tProbe肿瘤磁共振成像图片及其信噪比;(F)tProbe体内响应性成像示意图。
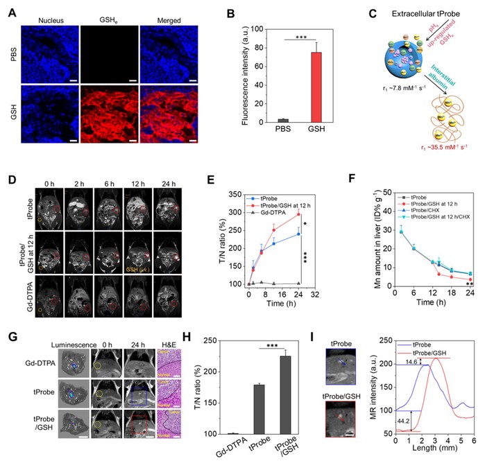
tProbe在肿瘤基质微酸性(pH 6.5)和低GSH浓度(< 10 mM)条件下未被有效激活。为此,研究人员进一步通过静脉注射GSH提升瘤内基质的GSH浓度(图4A、B),诱导胞外tProbe的快速降解,并与瘤内白蛋白形成超高r1的Mn2+-albumin复合物(~35 mM-1s-1)(图4C), 从而使其结肠癌的成像信噪比提高至300%(图4D-E),实现瘤内基质和细胞内均可高效激活的全息成像效应。更重要的是,静脉注射GSH后,非靶部位的tProbe被GSH快速降解并清除,从而显著降低背景信号(图4F),实现了微小肝转移瘤(~ 3 mm)的精准成像(图4G-I)。综上所述,该工作提出了肿瘤“全息造影”新策略,通过纳米探针胞内、胞外信号协同激活和降噪效应,显著提升了肿瘤成像对比度,为精准的肿瘤磁共振成像提供了新的手段。

图4:(A、B)静脉注射GSH后瘤内GSH分布及荧光强度;(C)胞外tProbe激活、滞留、被白蛋白捕获示意图;(D、E)静脉注射GSH后tProbe在原位结肠癌的磁共振成像图片和信噪比;(F)第12 h静脉注射GSH后肝组织中的tProbe分布;(G-I)静脉注射GSH后tProbe在肝转移瘤中的磁共振成像图和信噪比。
论文信息:https://onlinelibrary.wiley.com/doi/abs/10.1002/adma.202209603
T. Li, X. Tan, X. Liu, M. Li, J. Luo, Y. Zhang, Z. Jiang*, Y. Deng, L. Han, H. Ke, J. Shen, Y. Tang, F. Liu, H. Chen*, T. Yang*, Adv Mater, 2022, doi: 10.1002/adma.202209603